보통 lapa로 하는데 특이하게 이번에는 open으로 했다.(소아)
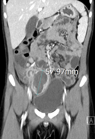
맹장인지 확인하는 방법(McBurney's point, obturator test)자가진단
복통, 맹장위치 및 맹장인지 확인하는 방법(McBurney's point, obturator test)자가진단
갑자기 오른쪽 아래쪽 배가 아플 때 드는 생각이 어? 내가 맹장인가 아닌가 하시는 분들이 많을 거에요. 확실하게 정리해드리겠습니다. By Indolences created it on the English Wikipedia. This SVG image was create
young0823.tistory.com
에 나오는 mcburney 지점을 incision 했다.
역시 open으로 하는거라 훨씬 간단하긴 하다. 다만 incision 부위를 작게해서 보는데 불편함이 약간 있어 보였다.


물품실1 pkg2, F, mess#15, leukomed, 8*15/8*10 , 3.2JP, edge tip(S)
물품실2 D-gown(3), utility(4), pediatric sheet, suction tube(1), bovie, marker, spoid(2), x-ray G(2), ligasure LF1212
10R : 문석배 set, appe set,
6R : steri-strip
mersilk 3/4-0
사용기구 : baby richadson, spatula(문), metzen, mixter, mos, kelly, sci, NH
long pin
*painting
betadine ball
*drap
utility(4) -> pediatric sheet
*procedure
1. #15 mess incision on mcburney
2. subcu /muscle/peri dissection c bovie, mos / devakey(小)
3. baby richardson으로 retraction하면서 appendix artery ligasure로 제거
4. mersilk 3-0CR로 purstring suture
5. metzen으로 appendix cut
6. JP3.2 insertion
7. spoid irrigation
8. suture
muscle vicryl 3-0
subcu vicryl 4-0(310)
skin bn 4-0
tagging Bn 3-0
'수술실 > GS' 카테고리의 다른 글
| hartmann's operation (1) | 2024.10.28 |
|---|---|
| laparoscopic appendectomy (0) | 2024.09.11 |
| AVF formation(artificial) (0) | 2024.07.19 |
| right hemicolectomy (0) | 2023.11.01 |
| anal fistulectomy(항문누공 절제술) (0) | 2022.10.29 |
댓글